從事微創醫療器械的研發、生產、銷售的高新技術企業
2022-08-24
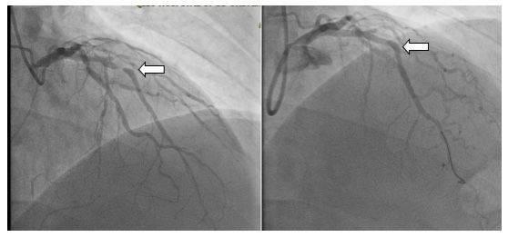
恭喜XINSORB可吸收支架在印尼取證!開啟國際化旅程!
2022-07-29
2022-06-30
2022-05-19
2022-02-28
2022-01-17